Redefining Periodontics
As a Diplomate of the American Board of Periodontology, Dr. Lum has demonstrated above-standard expertise and passion for the artistry and science behind gum health. Periodontics is the true intersection between a patient’s oral health and systemic health We believe in transparency with patients and hope you find comfort and education in these shared success stories.
If your gums bleed after brushing and flossing, or if you haven’t been to the dentist in over a year, you may be one of many individuals in the United States living with gum disease.
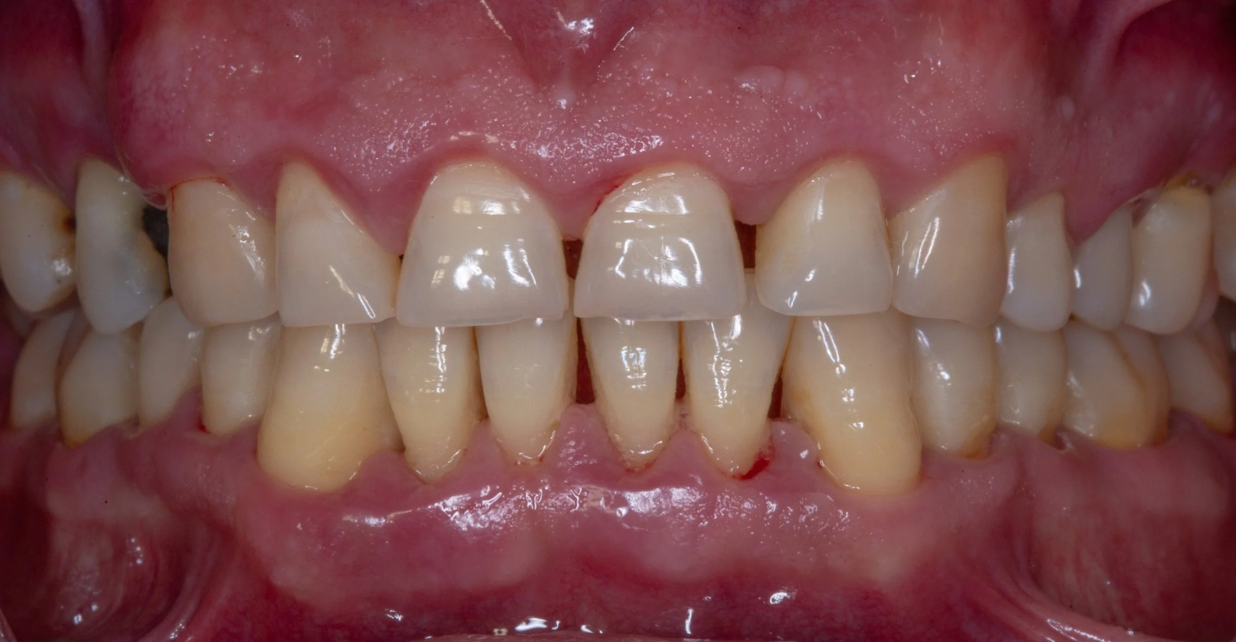
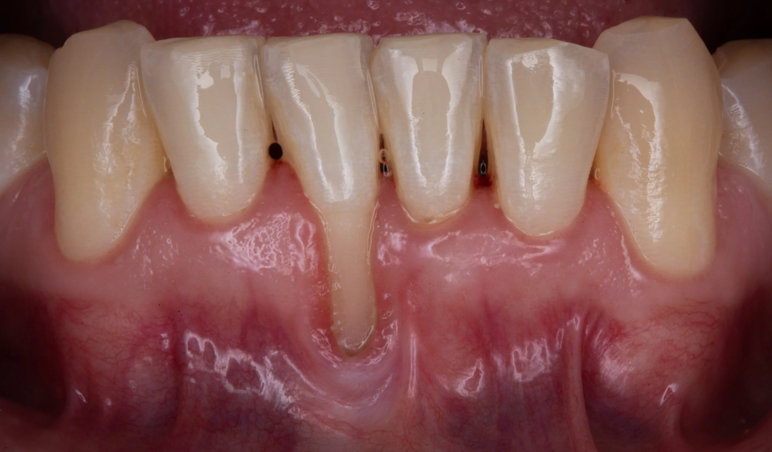
Sensitivity to cold, or bleeding after brushing your teeth may indicate gum recession. This occurs when your gums pull away from your tooth, exposing the root surface which may be uncomfortable or unsightly.
This procedure may be recommended by your dentist in order to expose more tooth structure before placing a crown. In some patients, it may be recommended for patients with excessive gum display when they smile.
Dental implants offer an excellent long-term solution to replace missing teeth, or teeth that can no longer be saved. Unlike alternative solutions, an dental implant can be superior in aesthetics, function, and longevity.
If you suffer from bone loss due to periodontal disease or tooth loss, it may be necessary to rebuild or regenerate portions of the jawbone before dental implant placement.
Dentistry continues to evolve with improvements in science and we remain dedicated to providing you with the highest level of patient care that ensures safety, predictability, efficiency, and aesthetics. Guided surgery is just one example of this commitment.
Replacing all of the upper or lower teeth with dental implants requires a high level of knowledge and coordination to ensure a successful outcome.
A sinus lift procedure may be necessary if teeth in the back of the mouth have been missing for a long period of time. This procedure increases the amount of bone in your upper jaw prior to implant placement.
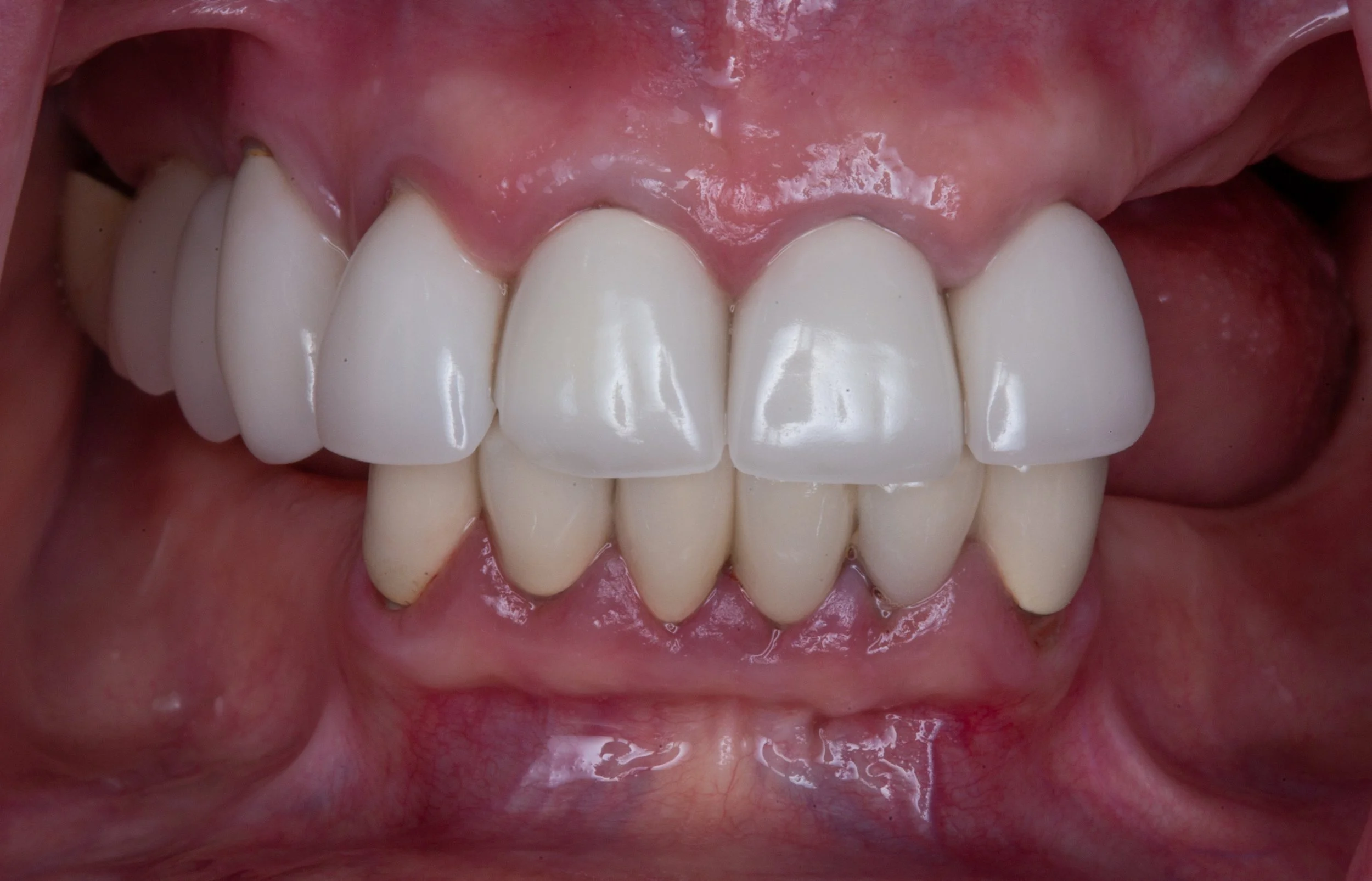
Learn how our comprehensive approach and access to multiple specialists distinguishes our team amongst others when performing complex smile rejuvenations.
 
            
              
            
            
          
             
            
              
            
            
          
             
            
              
            
            
          
             
            
              
            
            
          
             
            
              
            
            
          
             
            
              
            
            
          
             
            
              
            
            
          
            