Dental Implants

Whether you are missing a single tooth or multiple teeth, dental implants can provide a biologically safe, natural-looking, long-term solution to restore your smile. Periodontists are the experts in carefully managing the gum and bones which ensures proper support and aesthetics.

Digital Radiographs

Digital x-rays are an advanced way of taking pictures of your mouth at the dental office. Evaluating the status of your dental implants, teeth, and surrounding bone is only possible with periodic x-rays. Compared to traditional film x-rays, the digital format uses lower dose of radiation, and are faster, safer, and more comfortable. Ensuring the bone and foundation for your smile is stable is an essential first step before any reconstruction can be started.

High Quality Imaging

Our entire team takes pride in the smile transformation process for each patient. Every smile is unique, and we utilize various techniques to capture the details that make your smile special. Digital photographs are taken using professional-grade cameras and flashes, and are combined with the newest technology for creating 3D models of your mouth. Together, this will help everyone make the right decisions and give you the best care possible.

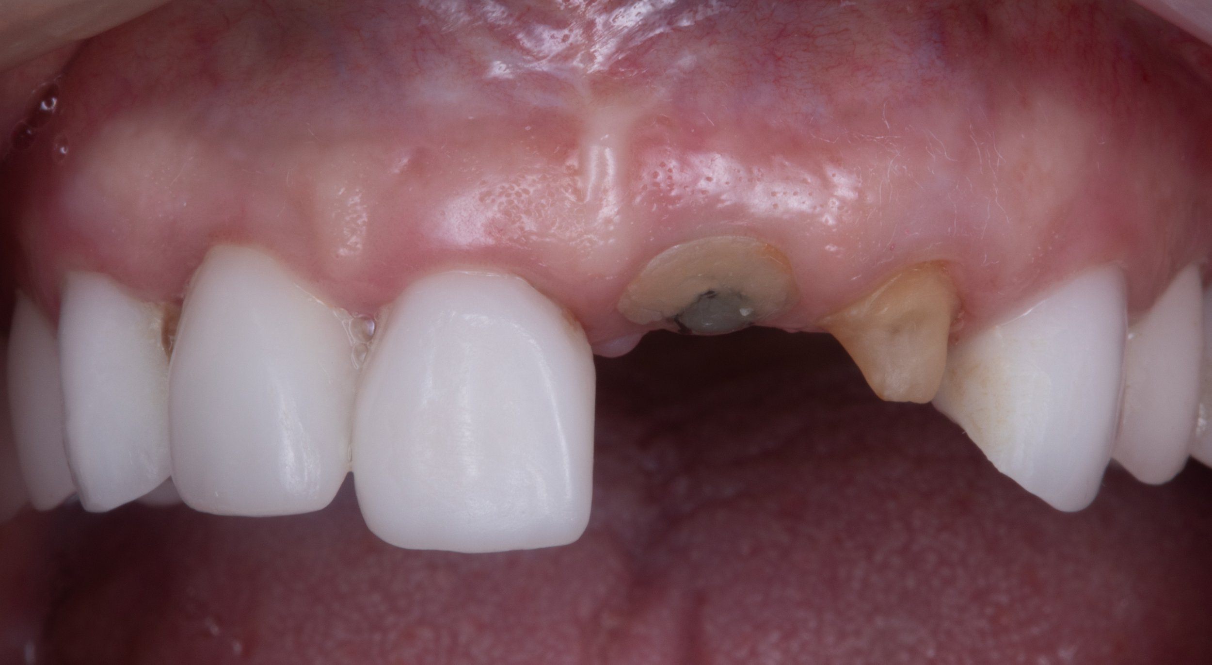
Dynamic Analysis

High definition video and photographs are important to understand and analyze your smile. Videos demonstrate how your smile moves when you talk or eat, while photos reveal tooth alignment and color differences. Our specialists understand the importance of utilizing both methods of documentation to provide a clear and complete picture of your smile and provide the best care possible.

A missing tooth, or one that is badly fractured, or infected may be difficult to restore using conventional dental techniques. Despite our desire to preserve as many natural teeth as possible, the end result of saving a severely compromised tooth may not be functional, predictable, or worthwhile. In these situations, a dental implant may be the best option for tooth replacement. Most cases will take 3-4 appointments over a 6-12 month time span.

Thorough clinical and radiographic planning is important for creating a comprehensive treatment plan. The first step is to gently remove the diseased tooth and any surrounding infection without injuring the adjacent structures. With the proper use of dental anesthetic and careful instrumentation, this process is painless.

A detailed image taken using Cone-Beam Computed Tomography (CBCT), can reveal additional three-dimensional information about the tooth and surrounding structures. If certain conditions exist such as the absence of infection and bone loss, then a dental implant may be placed immediately after the tooth is extracted. This is known as an immediate implant placement.

However, if these conditions are not present, bone grafting may need to be performed first, then followed by delayed implant placement.

When dental implants are placed correctly using dental anesthetic, the process and healing is virtually painless. Over-the-counter pain medications during the first 2-3 days is generally sufficient.

Placing a dental implant in the correct position requires precision and accuracy. When there is a narrow margin for error, a surgical guide may be fabricated in order to ensure the best possible outcome.

Replacing a missing tooth with an implant consists of 3 individual parts:

  1. The dental implant is placed into the bone, and serves as the anchor or base.

  2. The implant crown is the white prosthetic piece that looks and acts like a tooth.

  3. The abutment is a connector piece that securely joins the implant and crown.

Dental implants require adequate time to allow proper healing and adhesion with the surrounding bone. This is called osseointegration and can take 3-6 months. After implant healing is completed, the final abutment and crown can be placed.

After thorough evaluation and planning, replacing a tooth with a dental implant can be executed with precision, accuracy, and efficiency. This can result in a long-lasting tooth replacement that looks, feels, and functions like a natural tooth.