Gum Recession

Gum Recession occurs when the gums pull away from the tooth and expose the underlying root of your tooth. This can happen for a combination of reasons, and has been observed in over 50% of US adults 30 years of age and older.

Common causes of gum recession:

  1. Periodontal disease, which cause the gums to bleed when you brush or floss

  2. Brushing too aggressively or with a hard bristled toothbrush

  3. Familial traits, as certain individuals are born with thinner gums

  4. Lip, tongue piercings, or tobacco use can injure the gums

  5. Misaligned teeth or a poorly fitting dental appliance that puts pressure on the gums.

Etiology

Gum recession can often be treated depending on the severity of the condition. In mild cases, the dentist may recommend better oral hygiene practices. However, for more severe cases, the dentist may recommend gum grafting, where a small patch of tissue is transplanted to cover the area of gum recession. This procedure may be recommended around teeth, implants.

When gum recession if left untreated, it often leads to tooth sensitivity, cavities, gum disease or unaesthetic smiles.

Treatment

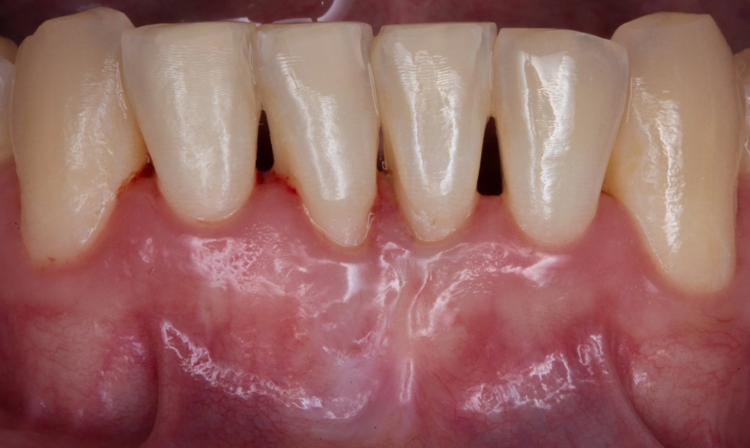
A healthy tooth is held firmly in place by bone, and then covered by gum tissue which creates a tight seal. Recession occurs when the bone and gums pull away from the tooth, leaving the root exposed.

Gum recession can create problems when cleaning teeth which can lead to root cavities or worsening recession. It can also be unsightly or uncomfortable when eating or drinking cold items.

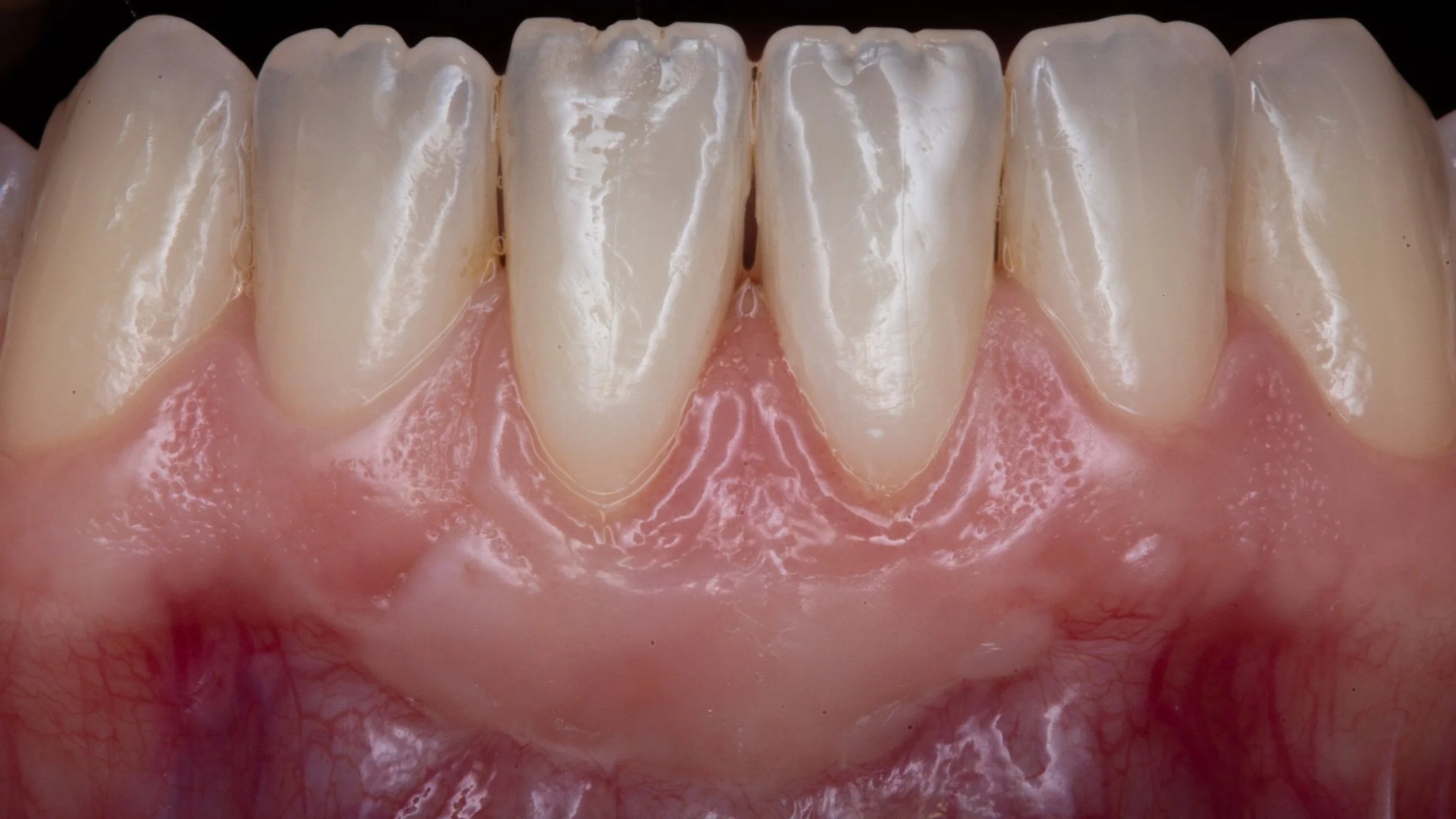
The treatment of gum recession often requires a gum graft which can improve the quality, thickness, and tissue health at the site of gum recession.

The initial healing phase takes 2-3 weeks with minimal discomfort or pain medication. After 4-6 weeks, the gums will continue to heal resulting in a new long-lasting seal around the tooth.

Gum Recession

Etiology:

Gum recession is a common dental condition that you may have been referred to a periodontist to evaluate. If you have gum recession, the pink gum tissue surrounding teeth has pulled away from your tooth, exposing more of the tooth or its root. As shown in the before and after pictures on this page, gum recession can occur anywhere in your mouth, and may require surgical intervention. Gum recession can occur due to several reasons, including:

  1. Periodontal diseases such as gingivitis or periodontitis, which cause the gums to become inflamed and pull away from the teeth.

  2. Overbrushing, which can cause the enamel of the teeth to wear away, leading to gum recession.

  3. Genetics, as some people are more susceptible to gum recession due to their family history.

  4. Trauma to the gums, such as from a toothbrush, piercing, or oral surgery.

  5. Smoking, which can lead to gum disease and subsequent gum recession.

  6. Misaligned teeth or a poorly fitting dental appliance that puts pressure on the gums.

Treatment:

The treatment for gum recession depends on the severity of the condition. For mild cases, the dentist may recommend better oral hygiene practices, such as brushing twice a day, and flossing daily. However, for more severe cases, the dentist may recommend gum graft surgery, where a small patch of tissue is taken from the roof of the mouth and transplanted to the area of recession. This may be recommended around teeth, implants, or future implant sites after bone grafting procedures.

There are several risks associated with gum recession, including:

  1. Tooth sensitivity, as the exposed tooth root is more sensitive to hot or cold temperatures.

  2. Tooth decay, as the exposed tooth root is more susceptible to bacterial damage.

  3. Gum disease, as the exposed tooth root is more susceptible to inflammation.

  4. Cosmetic issues, as gum recession can make teeth appear longer, or darker and unsightly.

Frequently asked questions:

Q: How long does gum graft surgery take?
A: Gum graft surgery typically takes one to two hours, depending on the extent of the procedure.

Q: Is gum graft surgery painful?
A: The periodontist will ensure your are numb and comfortable throughout the procedure. They typically use local anesthesia to numb the area and minimize pain.

Q: How long does it take to recover from gum graft surgery?
A: Recovery from gum graft surgery typically takes about one to two weeks. During this recovery period, the patient will need to eat soft foods and avoid brushing the affected area.

Q: Can gum recession be reversed?
A: In some cases, gum recession can be reversed with proper oral hygiene practices and professional treatment. However, in more severe cases, gum recession may require surgery to correct.

Q: How can I prevent gum recession?
A: The best approach for prevention is to practice good oral hygiene, and visit your periodontist regularly for cleanings and checkups. It is also important to avoid smoking, eat a balanced diet, and address any oral health issues promptly.